Влияние трансдермальной терапевтической системы иммуномодулятора на регенерационную активность печени
https://doi.org/10.15825/1995-1191-2022-1-89-95
Аннотация
Введение. На сегодняшний день актуальны вопросы применения иммуномодуляторов для регуляции репаративных процессов в пораженных органах и тканях. Наибольший интерес вызывает процесс восстановления печени после обширной резекции (ОРП) у доноров при родственной трансплантации правой доли печени. Авторы предлагают использовать трансдермальную терапевтическую систему (ТТС) с иммуномодулятором для усиления естественного процесса регенерации ткани печени. Целью работы явилось изучение влияния чрескожного введения иммуномодулятора аминодигидрофталазиндиона натрия на раннем сроке восстановительных процессов в печени после ОРП в экспериментах in vivo.
Материалы и методы. В качестве активного вещества в составе ТТС использовали аминодигидрофталазиндион натрия в виде порошка для приготовления раствора для внутримышечного введения (торговое название Галавит®, ООО «СЭЛВИМ»). Экспериментальная модель обширной резекции печени выполнена на 22 крысах-самцах породы Вистар весом 350–380 г. Все животные после ОРП были разделены на две группы. Первую группу (n = 10) составили животные без лечения. Во второй группе (n = 12) сразу после резекции печени проводили аппликацию ТТС. Продолжительность эксперимента составила 48 часов с однократной заменой ТТС через 24 часа от начала аппликации.
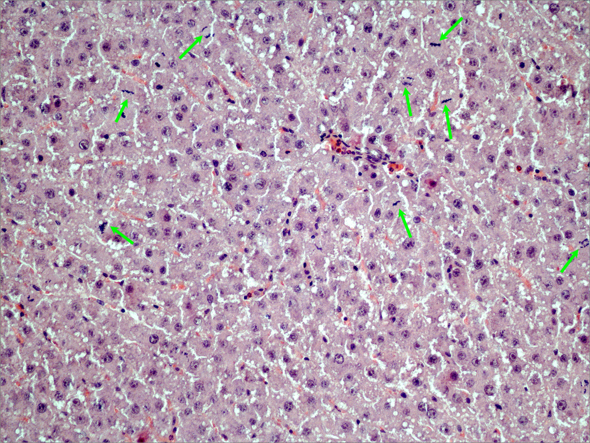
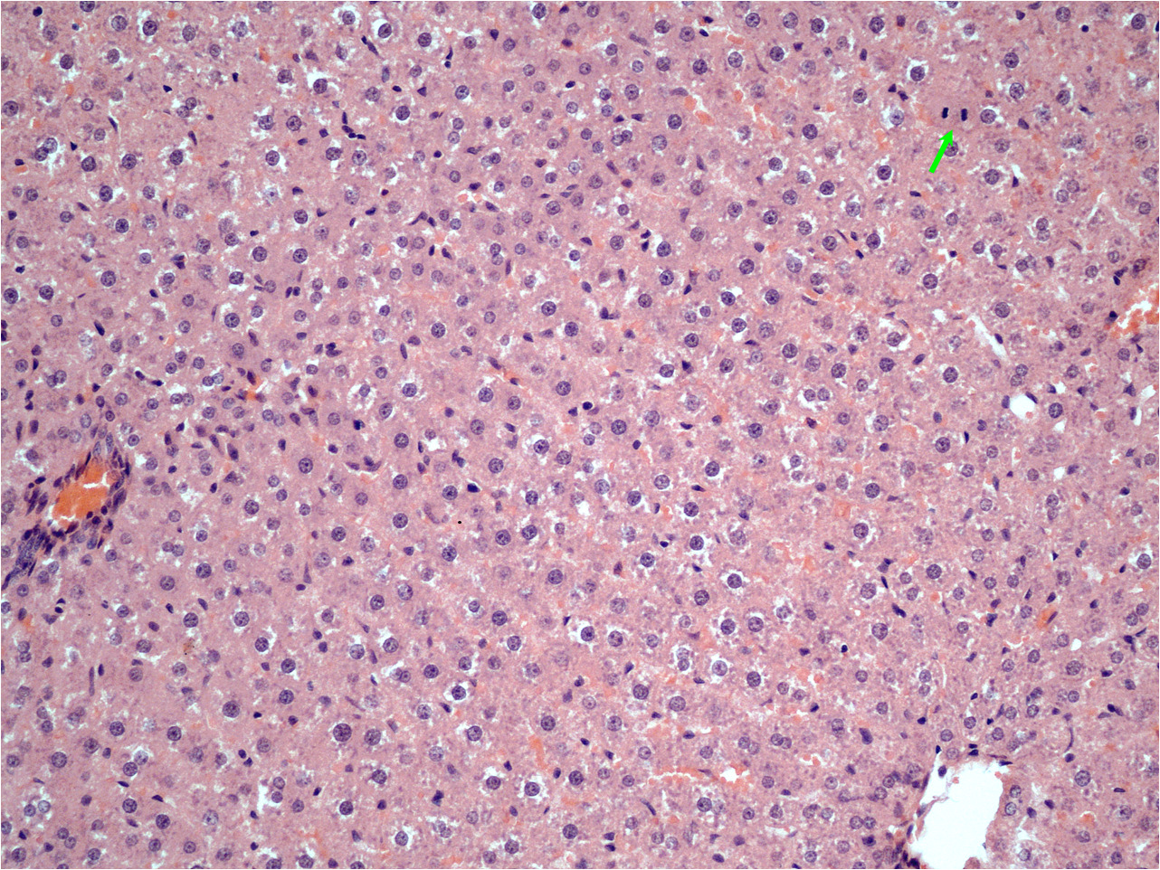
Результаты. Достоверного различия в массе прироста остатка печени и в биохимических показателях крови на сроке 48 часов после ОРП в обеих группах не обнаружено. Оценка митотического индекса гепатоцитов через 48 часов после ОРП выявила достоверное его увеличение в обеих группах по сравнению с исходным значением (до резекции печени), равным 0,14 ± 0,07‰. В первой группе животных величина МИ составила 12,70 ± 4,9‰, во второй группе – 17,43 ± 4,90‰, (p ≤ 0,05).
Заключение. Проведенные исследования регенерационной активности ТТС аминодигидрофталазиндиона натрия на экспериментальной модели ОРП у крыс показали выраженное стимулирующее воздействие данной лекарственной формы на митотическую активность клеток печени.
Об авторах
Е. Г. КузнецоваРоссия
Кузнецова Евгения Геннадьевна
123182, Москва, ул. Щукинская, д. 1.
Тел. (499) 196-26-61
О. М. Курылева
Россия
Москва
Л. А. Саломатина
Россия
Москва
Л. А. Кирсанова
Россия
Москва
З. З. Гоникова
Россия
Москва
А. О. Никольская
Россия
Москва
Н. П. Шмерко
Россия
Москва
В. И. Севастьянов
Россия
Москва
Список литературы
1. Юшков БГ, Данилова ИГ, Храмцова ЮС. Влияние иммуномодуляторов на регенерацию печени. Экспериментальная и клиническая фармакология. 2006; 69 (1): 53–55.
2. Юшков БГ. Клетки иммунной системы и регуляция регенерации. Бюллетень сибирской медицины. 2017; 16 (4): 94–105.
3. Гоникова ЗЗ, Никольская АО, Кирсанова ЛА, Шагидулин МЮ, Онищенко НА, Севастьянов ВИ. Сравнительный анализ эффективности стимуляции процессов регенерации печени клетками костного мозга и общей РНК этих клеток. Вестник трансплантологии и искусственных органов. 2019; 21 (1): 113–121.
4. Красовский ВС, Сентюрова ЛГ, Зурнаджан СА. Опыт применения «Лайфферона» при травмах печени в эксперименте. Международный журнал прикладных и фундаментальных исследований. 2015; 10 (2): 240–243.
5. Кротова ОА, Гранов ДА, Руткин ИО. Синдром «недостаточного размера печени» после резекции и трансплантации фрагмента печени. Вестник хирургии им. И.И. Грекова. 2012; 171 (3): 113–116.
6. Андреев АА, Остроушко АП, Лаптиева АЮ, Глухов АА. Репаративная регенерация печени после сегментарной резекции (литературный обзор). Аспирантский вестникПоволжья. 2018; 18 (5–6): 183–190.
7. Кузнецова ЕГ, Курылева ОМ, Саломатина ЛА, Севастьянов ВИ. Экспериментальное исследование диффузии иммуномодулятора Галавит® в модельной системе. Разработка и регистрация лекарственных средств. 2020; 9 (1): 92–97.
8. Кузнецова ЕГ, Курылева ОМ, Саломатина ЛА, Курсаков СВ, Гоникова ЗЗ, Никольская АО и др. Сравнительный анализ фармакокинетических параметров трансдермального и внутримышечного введений препарата Галавит®. Вестник трансплантологии и искусственных органов. 2021; 23 (2): 114–121.
9. Ельчанинов АВ, Фатхудинов ТХ, Макаров АВ, Глинкина ВВ, Большакова ГБ. Регенерация печени млекопитающих. Клиническая и экспериментальная морфология. 2012; 4: 57–61.
Дополнительные файлы
|
1. Подписи к рисункам | |
| Тема | ||
| Тип | Исследовательские инструменты | |
Скачать
(12KB)
|
Метаданные ▾ | |
|
|
2. Рисунок1 | |
| Тема | ||
| Тип | Исследовательские инструменты | |
Посмотреть
(712KB)
|
Метаданные ▾ | |
|
|
3. Рисунок2 | |
| Тема | ||
| Тип | Исследовательские инструменты | |
Посмотреть
(734KB)
|
Метаданные ▾ | |
|
|
4. Рисунок3 | |
| Тема | ||
| Тип | Исследовательские инструменты | |
Посмотреть
(622KB)
|
Метаданные ▾ | |
Рецензия
Для цитирования:
Кузнецова Е.Г., Курылева О.М., Саломатина Л.А., Кирсанова Л.А., Гоникова З.З., Никольская А.О., Шмерко Н.П., Севастьянов В.И. Влияние трансдермальной терапевтической системы иммуномодулятора на регенерационную активность печени. Вестник трансплантологии и искусственных органов. 2022;24(1):89-95. https://doi.org/10.15825/1995-1191-2022-1-89-95
For citation:
Kuznetsova E.G., Kuryleva O.M., Salomatina L.A., Kirsanova L.A., Gonikova Z.Z., Nikolskaya A.O., Shmerko N.P., Sevastianov V.I. Effect of transdermal immunomodulation on liver regeneration. Russian Journal of Transplantology and Artificial Organs. 2022;24(1):89-95. https://doi.org/10.15825/1995-1191-2022-1-89-95
JATS XML


































